Вы просматриваете архив старого форума, он открыт только для чтения. Чтобы создать новое обсуждение, перейдите на новый форум.
22 мая 2011 г. 5:41
Подскажите пожалуйста, можно ли делать упр Очищение печени из книги 1 ступени при множестве мелких камней в желчном? ( вдохнуть ци через бай хуэй и юнь цуань, подвести к печени, на выдохе выбросить ци через глаза со звуком ш-ш-ш)
22 мая 2011 г. 19:48
Ra
что-то я не помню такое на 1 ступени, просветите?
23 мая 2011 г. 5:12
морская
В книге 1 ступени Минтана, Мартыновой, зелёненькая, с Минтаном на обложке, 2001 год, стр 179, Лечение печени.
25 мая 2011 г. 0:19
Мельник Ирина
что вы имеете в виду под словом "мелкие"? если камень меньше в диаметре желчевыводящего протока - т.е. если он двинется то спокойно пройдет по протокам - делайте очистку желчного любым способом! лучше, на мой взгляд, попить травы желчегонные!
в книге предлагается энергетическая очистка! она Ваши камешки не сдвинет.
если следовать такой логике, то они должны не в протоки выходить, а к глазам подниматься. :)
в книге предлагается энергетическая очистка! она Ваши камешки не сдвинет.
если следовать такой логике, то они должны не в протоки выходить, а к глазам подниматься. :)
25 мая 2011 г. 4:32
морская
Врач на узи сказала "груда мелких камней" :), какие размеры я не спросила, в описании не написано - просто слово "конкременты". В прошлом году был один камешек 0,5 см, а в этом уже "груда". Может рассыпался, не знаю.. желчегонные не рекомендовала.
25 мая 2011 г. 9:44
Мельник Ирина
у камней есть две важных характеристики - их размер и состав.
Мелкие до 0,5 см достаточно безопасны - они могут выйти и сами почти без Вашего личного участия. Соответственно, если диаметр камешка больше чем желчные протоки - он застрянет и тогда вам прямая и очень скорая дорога на операционный стол.
Состав - камни бывают "растворимые" или "нерастворимые", что на глаз по УЗИ определить невозможно для этого существуют специальные анализы. Большой "нерастворимый" камень либо дробят с помощью ультразвука либо вырезают хирургическим путем.
Конкремент (от лат. concrementum — скопление, срастание) — камни, плотные образования, встречающиеся в полостных органах и выводных протоках желёз человека.
из всего вышесказанного можно сделать вывод - если мелкие камни любого состава можно пить желчегонное, а вот если больше чем протоки - ни в коем случае!
но все это вам должен рекомендовать ваш врач, просто надо знать что спрашивать!
Мелкие до 0,5 см достаточно безопасны - они могут выйти и сами почти без Вашего личного участия. Соответственно, если диаметр камешка больше чем желчные протоки - он застрянет и тогда вам прямая и очень скорая дорога на операционный стол.
Состав - камни бывают "растворимые" или "нерастворимые", что на глаз по УЗИ определить невозможно для этого существуют специальные анализы. Большой "нерастворимый" камень либо дробят с помощью ультразвука либо вырезают хирургическим путем.
Конкремент (от лат. concrementum — скопление, срастание) — камни, плотные образования, встречающиеся в полостных органах и выводных протоках желёз человека.
из всего вышесказанного можно сделать вывод - если мелкие камни любого состава можно пить желчегонное, а вот если больше чем протоки - ни в коем случае!
но все это вам должен рекомендовать ваш врач, просто надо знать что спрашивать!
25 мая 2011 г. 10:09
Олег
А я слышал байку, что некоторые особо прозорливые имидж-терапевты дробят камни при помощи мантры "сяо" (кажется так звучит) высматривая их при помощи третьего глаза
25 мая 2011 г. 10:55
Сяня
А я слышал байку,как некий Сизиф любил гонять камни туда-сюда и был весьма доволен этим занятием. :HAPPY:
Скоро байка превратится в легенду,легенда в сказку,сказка в миф...и т.д. и т.п.
Скоро байка превратится в легенду,легенда в сказку,сказка в миф...и т.д. и т.п.
25 мая 2011 г. 12:17
Ким Ильгиза
Некие имидж-терапевты учатся таки у Сю Мин Тана, и вот вспоминаю его слова, что камешки желчного на самом деле не выводятся, а выводится та самая обволакивающая субстанция. Кажется, билирубиновая. Доеду до дома, выпишу цитату.
25 мая 2011 г. 13:57
Лобусов Егор
Вадим, я в настоящее время не занимаюсь лечением и ближайшее время не собираюсь! поэтому не вижу смысла вникать в узкоспециализированную медицинскую терминологию!
Однако медицинским консультированием увлекаетесь... Да ещё с латынью!
у камней есть две важных характеристики - их размер и состав.
Мелкие до 0,5 см достаточно безопасны - они могут выйти и сами почти без Вашего личного участия. Соответственно, если диаметр камешка больше чем желчные протоки - он застрянет и тогда вам прямая и очень скорая дорога на операционный стол.
Состав - камни бывают "растворимые" или "нерастворимые", что на глаз по УЗИ определить невозможно для этого существуют специальные анализы. Большой "нерастворимый" камень либо дробят с помощью ультразвука либо вырезают хирургическим путем.
Конкремент (от лат. concrementum — скопление, срастание) — камни, плотные образования, встречающиеся в полостных органах и выводных протоках желёз человека.
из всего вышесказанного можно сделать вывод - если мелкие камни любого состава можно пить желчегонное, а вот если больше чем протоки - ни в коем случае!
но все это вам должен рекомендовать ваш врач, просто надо знать что спрашивать!
Вы уж определитесь с генеральной линией...
25 мая 2011 г. 14:48
Мельник Ирина
Егор, я не увлекаюсь медицинским консультированием! Я на основании собственного опыта объясняю человеку какие именно вопросы нужно задать врачу.
по моему весьма оригинальный диагноз "груда мелких камней"!
что вам так не понравилось в моем посте? он не верен с медицинской точки зрения?
кстати в моем случае врач областной консультационной поликлиники при множественных мелких (0,3 см)камешках в желчном пыталась отправить меня на операцию, что вызвало удивление у хирурга той же поликлиники! а вместо консультации о возможной диете сунула в руки вкладыш от какого-то лекарства для печени и выставила из кабинета.
по моему весьма оригинальный диагноз "груда мелких камней"!
Врач на узи сказала "груда мелких камней" , какие размеры я не спросила, в описании не написано - просто слово "конкременты".
что вам так не понравилось в моем посте? он не верен с медицинской точки зрения?
у камней есть две важных характеристики - их размер и состав.
Мелкие до 0,5 см достаточно безопасны - они могут выйти и сами почти без Вашего личного участия. Соответственно, если диаметр камешка больше чем желчные протоки - он застрянет и тогда вам прямая и очень скорая дорога на операционный стол.
Состав - камни бывают "растворимые" или "нерастворимые", что на глаз по УЗИ определить невозможно для этого существуют специальные анализы. Большой "нерастворимый" камень либо дробят с помощью ультразвука либо вырезают хирургическим путем.
Конкремент (от лат. concrementum — скопление, срастание) — камни, плотные образования, встречающиеся в полостных органах и выводных протоках желёз человека.
из всего вышесказанного можно сделать вывод - если мелкие камни любого состава можно пить желчегонное, а вот если больше чем протоки - ни в коем случае!
<b>но все это вам должен рекомендовать ваш врач, просто надо знать что спрашивать!</b>
кстати в моем случае врач областной консультационной поликлиники при множественных мелких (0,3 см)камешках в желчном пыталась отправить меня на операцию, что вызвало удивление у хирурга той же поликлиники! а вместо консультации о возможной диете сунула в руки вкладыш от какого-то лекарства для печени и выставила из кабинета.
25 мая 2011 г. 15:03
Лобусов Егор
Полагаю терапевт Вас направил не на операцию. Это не входит в его компетенцию. Решение о целесообраности операции принимает хируг (полагаю он принял верное решение), к которому совершенно обоснованно Вас терапевт и направил.
Не стоит забывать, что врач, сидящий на приёме в поликлинике, почти раб, так как получает мизерную зарплату, огромную нагрузку, и ещё обязан заполнить кучу документов, плюс ответственность. Бывало за суточное дежурство по скорой помощи в неврологическом отделении я исписывал 1.5 стержня гелевой ручки! Думаете от любви к письму? Ни в коем разе - таковы правила (и я пытался писать кратко), ну а сне в такие дежурства говорить вообще не приходиться.
Такова вся система, а сейчас она приобретает вовсе чудовищные искажения.
Кстати, про Ваш пост я нигде не сказал, что он не верный.
К сожалению далее не смогу участвовать.
Не стоит забывать, что врач, сидящий на приёме в поликлинике, почти раб, так как получает мизерную зарплату, огромную нагрузку, и ещё обязан заполнить кучу документов, плюс ответственность. Бывало за суточное дежурство по скорой помощи в неврологическом отделении я исписывал 1.5 стержня гелевой ручки! Думаете от любви к письму? Ни в коем разе - таковы правила (и я пытался писать кратко), ну а сне в такие дежурства говорить вообще не приходиться.
Такова вся система, а сейчас она приобретает вовсе чудовищные искажения.
Кстати, про Ваш пост я нигде не сказал, что он не верный.
К сожалению далее не смогу участвовать.
26 мая 2011 г. 4:42
морская
Ирина, спасибо! А диету врач рекомендовала - нельзя жирное, жареное, не переедать. Придерживаюсь.
28 мая 2011 г. 20:54
Ким Ильгиза
Ну вот обещанные выписки из лекции Минтана. Правда, признаюсь, что я в своем посте выше несколько упростила по памяти мысли шифу.
"Камни в желчном пузыре всегда связаны с функциями печени. И если мы работаем с камнями в желчном пузыре, нам всегда необходимо лечить печень. Иногда есть одновременно камни в желчном пузыре и камни в печени. Если камень слишком большой, вам необходимо применять медицинское оборудование.
Первое, что касается камней в желчном пузыре и в печени – нам необходимо улучшить функцию печени и желчного пузыря. Функция снижена чаще всего из-за пониженного уровня энергии или низкого качества энергии. Если мы будем фокусироваться только на камнях, мы перейдем на уровень физического лечения, поскольку будем думать, как разрушить камни. Нам надо улучшить функции печени и желчного пузыря. После чего камни выйдут самостоятельно и уже не будут расти.
Практически всегда твердые камни окружены какой-то мягкой субстанцией и их невозможно обнаружить с помощью УЗИ. А вот после чистки печени эта мягкая субстанция уходит из желчного пузыря, тогда УЗИ может обнаружить камни в печени. Это просто, когда много мелких камней. Сложно, когда один большой камень. Не думайте, как разбить камень, думайте как увеличить функцию печени. Если сила вашего ума достаточно сильна, вы можете пользоваться мантрой сяо.
Если камень не активен, мы можем применять эти методы. Но если активен - нет, он причиняет сильную боль, надо искать другие способы. При сильной боли спазм появляется в области желчного пузыря или почек. Нужно дать препараты, либо приложить горячее полотенце, чтобы убрать боль и снять спазм.
Для того, чтобы улучшить функции печени и желчного пузыря, прежде всего уберите плохую ци. Потом пробуждаем печень и желчный пузырь. Мы обдавливаем канал печени и канал желчного пузыря. И точку в области печени (чи мен, например) обдавливаем, чтобы ци через каналы повлияла на физический орган. Это тот метод, когда мы используем энергию, чтобы влиять на органы".
"Камни в желчном пузыре всегда связаны с функциями печени. И если мы работаем с камнями в желчном пузыре, нам всегда необходимо лечить печень. Иногда есть одновременно камни в желчном пузыре и камни в печени. Если камень слишком большой, вам необходимо применять медицинское оборудование.
Первое, что касается камней в желчном пузыре и в печени – нам необходимо улучшить функцию печени и желчного пузыря. Функция снижена чаще всего из-за пониженного уровня энергии или низкого качества энергии. Если мы будем фокусироваться только на камнях, мы перейдем на уровень физического лечения, поскольку будем думать, как разрушить камни. Нам надо улучшить функции печени и желчного пузыря. После чего камни выйдут самостоятельно и уже не будут расти.
Практически всегда твердые камни окружены какой-то мягкой субстанцией и их невозможно обнаружить с помощью УЗИ. А вот после чистки печени эта мягкая субстанция уходит из желчного пузыря, тогда УЗИ может обнаружить камни в печени. Это просто, когда много мелких камней. Сложно, когда один большой камень. Не думайте, как разбить камень, думайте как увеличить функцию печени. Если сила вашего ума достаточно сильна, вы можете пользоваться мантрой сяо.
Если камень не активен, мы можем применять эти методы. Но если активен - нет, он причиняет сильную боль, надо искать другие способы. При сильной боли спазм появляется в области желчного пузыря или почек. Нужно дать препараты, либо приложить горячее полотенце, чтобы убрать боль и снять спазм.
Для того, чтобы улучшить функции печени и желчного пузыря, прежде всего уберите плохую ци. Потом пробуждаем печень и желчный пузырь. Мы обдавливаем канал печени и канал желчного пузыря. И точку в области печени (чи мен, например) обдавливаем, чтобы ци через каналы повлияла на физический орган. Это тот метод, когда мы используем энергию, чтобы влиять на органы".
28 мая 2011 г. 21:19
Лобусов Егор
Практически всегда твердые камни окружены какой-то мягкой субстанцией и их невозможно обнаружить с помощью УЗИ.
Видимо Сюй Мин-тан имел ввиду что-то другое... Видны они, ещё как!
Вот они, драгоценные:
<img src="http://www.medison.ru/uzi/img/p158.jpg" width="400" />
<img src="http://pics.livejournal.com/uborshizzza/pic/0031tag1/s320x240" />
<img src="http://www.zdorovo365.ru/assets/images/Equimpent/UZI%202.png" />
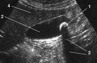
1. камень желчного пузыря 2. полость желчного пузыря 3. акустическая тень камня 4. ткань печени
28 мая 2011 г. 21:24
Ким Ильгиза
Многоступенчатый перевод - мысль зарождается на китайском языке, формулируется вслух с переводом на английский, с английского делается перевод на русский, а с русского устного еще и на русский письменный на слух. :SCRATCH:
28 мая 2011 г. 21:30
Лобусов Егор
Такая цепь искажений... И чему тогда можно доверять?
28 мая 2011 г. 22:15
Ким Ильгиза
Никому нельзя верить, Егор. Если анализировать по отдельности концепты или идеи в любой отрасли, то вообще всё - враньё. В том числе и аппаратные показатели. В том числе и результаты биохимических анализов. В том числе и выводы официальной медицины. Можно получить сильно отличающиеся диагнозы, консультируясь у разных специалистов даже одного профиля. Все мы субъективны и можем ошибаться. Это я о последнем искажении в цепи - субъективной перцепции, снабженной определенной установкой.
28 мая 2011 г. 22:22
Лобусов Егор
Естественно. Поэтому я за несколько обоснованных точек зрения, чтобы высветить объект с разных сторон.
Но вот только беда - всё исходящее от Сюй Мин-тана принимается большинством представителей социума безоговорочно на веру, и без задумывания на тему того, сколько возникло искажений по пути хода этих идей.
Но вот только беда - всё исходящее от Сюй Мин-тана принимается большинством представителей социума безоговорочно на веру, и без задумывания на тему того, сколько возникло искажений по пути хода этих идей.
28 мая 2011 г. 22:27
Олег
Склонность людей писать евангелия неистребима )))
30 мая 2011 г. 14:01
Ахмаметов Наиль
Такова вся система, а сейчас она приобретает вовсе чудовищные искажения.Жаль Егор, мне я очень сочувствую врачам, врачам всех направлений.
Серьезно выводя практику на автоматический уровень накопления, очищения и трансформации ци, человек в ЧЮЦ получает безграничные возможности и способности. Речь об очищении своего организма, о переходе на другие уровни существования. Трудно попасть на этот Путь, но еще труднее правильно все применить.
Если у человека плохо функционирует печень и желчный, то наряду с большим Деревом и УСин, я бы рекомендовал (если только нет больших камней) перейти на сыроедение. В течение недели я сам перешел и теперь чувствую себя богом.
Сегодня помог другу, перенес на десятый этаж жилого дома около 4 тонн разных грузов, а утром я поел только горсть пророщенного маша и чечевицы, морковку с финиками и запил гранатовым соком, а мои труды только начались.... :LAUGHING:
30 мая 2011 г. 15:02
Сергей_Ко
... я бы рекомендовал (если только нет больших камней) перейти на сыроедение. В течение недели я сам перешел и теперь чувствую себя богом.
Сегодня помог другу, перенес на десятый этаж жилого дома около 4 тонн разных грузов, а утром я поел только горсть пророщенного маша и чечевицы, морковку с финиками и запил гранатовым соком, а мои труды только начались.... :LAUGHING:
Ну и Геракл :SHOCKED:
(так и хочеться отнести данное "выступление" к теме шизофрения у занимающихся <strong><u>различными</u></strong> практиками, объединяя их без разбору)
до практиковались до того, что уже и с арифметикой перестали дружить...
элементарный подсчёт: 4 тонны груза = 4000 кг.
При всём уважении... более 40 кг за раз (уж извините) вы не понесёте (в большинстве случаев, а если учесть, что это не в рюкзаке, то и подавно)...
и так получаем 100 ходок.
Одна ходка с грузом на 10 этаж, приблизительно, не менее 10 минут - это 17 часов работы (без перерывов попить, по какать... )
Такое не снилось и Гераклу :LAUGHING:
Тут, либо 4 тонны груза слишком сильно "слегка преувеличены", либо что то с головой в учёте времени (вчера), либо банальный обман :ACUTE: ... либо вчера, но нас было шестеро :HAPPY:
30 мая 2011 г. 15:08
Елена Маркова Chatka
я очень сочувствую врачам, врачам всех направлений.
Серьезно выводя практику на автоматический уровень накопления, очищения и трансформации ци, человек в ЧЮЦ получает безграничные возможности и способности. Речь об очищении своего организма, о переходе на другие уровни существования. Трудно попасть на этот Путь, но еще труднее правильно все применить.
Если у человека плохо функционирует печень и желчный, то наряду с большим Деревом и УСин, я бы рекомендовал (если только нет больших камней) перейти на сыроедение. В течение недели я сам перешел и теперь чувствую себя богом.
Сегодня помог другу, перенес на десятый этаж жилого дома около 4 тонн разных грузов, а утром я поел только горсть пророщенного маша и чечевицы, морковку с финиками и запил гранатовым соком, а мои труды только начались.... :LAUGHING:
Да, тут нужна помощь врачей некоторых направлений. :CONFUSED:
Хотя, вполне возможно - Наиль просто пользовался грузовым лифтом :), грызя морковку.
Сыроедение рулит! :PARDON:
30 мая 2011 г. 15:14
Елена Маркова Chatka
Если у человека плохо функционирует печень и желчный, то наряду с большим Деревом и УСин, я бы рекомендовал (если только нет больших камней) перейти на сыроедение. :LAUGHING:
Это ОЧЕНЬ вредный анти- совет. :DEVIL:
Ни в коем разе нельзя переходить на сыроедение при наличии проблем желчного пузыря. :NO:
Желчь выбрасывается при "запросе" организма для переработки жира; если нет выбросов желчи- забивается проток- и получите/ распишитесь камушек. :DONT_KNOW:
30 мая 2011 г. 15:19
Лобусов Егор
и теперь чувствую себя богом.
БРЕД МЕССИАНСКИЙ (МКБ 295.3 - международная классификация блезней)
<em>- бредовое убеждение в собственной божественной избранности для свершения великих подвигов по спасению души или искуплению грехов человечества или определенной нации, религиозной группы и т. д. Мессианский бред может иметь место при шизофрении, паранойе и маниакально-депрессивном психозе, а также при психотических состояниях, обусловленных эпилепсией. В некоторых случаях, особенно при отсутствии других явных психотических проявлений, это расстройство трудно отличить от особенностей убеждений, свойственных данной субкультуре, или религиозной миссии, выполняемой членами каких-либо фундаментальных религиозных сект или движений.
</em>
Осторожнее, Наиль!
И прошу Вас - прекратите заниматься медицинским консультированием. Я вообще <a href="http://www.zyq108.com/blog/lobusov-egor/14321">предлагаю оное зопретить на сайте</a>. Хотя бы потому, что недавно был случай и сейчас, возможно, интернет-консультантов тоже привлекут к уголовной ответственности. Нужна этому сайту такая слава?
Вот этот случай: о "пользе" консультирования по сети <a href="http://www.svobodanews.ru/content/blog/24182310.html">см. ссылку</a>.
Краткий СМИ-шный вариант <a href="http://www.vesti.ru/doc.html?id=455054">здесь</a>.
А если совсем лень ходить по ссылкам, читать и вникать, то выжимка такова:
"<em>30 апреля в Подмосковье умерла трехмесячная девочка Ася. Умерла, несмотря на советы виртуальных "врачей" помазать девочке попу календулой или дать понюхать кофе. 32-летняя мама (её ник в ЖЖ - julienda), уже имеющая двух старших детей, смерть малышки практически транслировала в режиме реального времени. В Интернете "специалисты" давали советы, как лечить дочку народными средствами.</em>"
30 мая 2011 г. 15:31
Vika
[quote=Ахмаметов Наиль]
С советами переходить на сыроедение будьте осторожней.
Я - живой (слава Богу) пример того, как сыроедением можно сильно усугубить проблемы со здоровьем.
Этот переход возможен. Я знаю нескольких людей, которые уже не один год на сыроедении и хорошо себя чувствуют, но это далеко не универсальное питание и есть много-много нюансов, всяких "но" и вопросов при переходе на такой тип питания. Наиль, Вы - инструктор. Не советуйте всем подряд то, что Вы еще не проверили (1 неделя для сыроедения вообще не срок!!!)
Если у человека плохо функционирует печень и желчный, то наряду с большим Деревом и УСин, я бы рекомендовал (если только нет больших камней) перейти на сыроедение.
С советами переходить на сыроедение будьте осторожней.
Я - живой (слава Богу) пример того, как сыроедением можно сильно усугубить проблемы со здоровьем.
Этот переход возможен. Я знаю нескольких людей, которые уже не один год на сыроедении и хорошо себя чувствуют, но это далеко не универсальное питание и есть много-много нюансов, всяких "но" и вопросов при переходе на такой тип питания. Наиль, Вы - инструктор. Не советуйте всем подряд то, что Вы еще не проверили (1 неделя для сыроедения вообще не срок!!!)
30 мая 2011 г. 20:53
Ra
Мдям.....не пойму у людей сострадание или жалость?